XB-PHENO-23397
Xla Wt + epha4 MO, Rothe M et al. (2017)
| Experiment + Assay: |
Xla Wt + epha4 MO +
NF42 (RT-PCR)
|
| Manipulations: |
| Manipulation Type |
Reagent |
Target Gene |
Stage |
Treatment Area |
|
morpholino injection
|
epha4 MO1
|
epha4.L
epha4.S
|
NF stage 4 (8-cell)
|
blastomere
|
|
| Conditions: |
| Assay Type |
Assay Stages |
Antibody |
|
RT-PCR
|
NF stage 42
|
|
|
|
|
Expression Phenotypes (4):
|
|
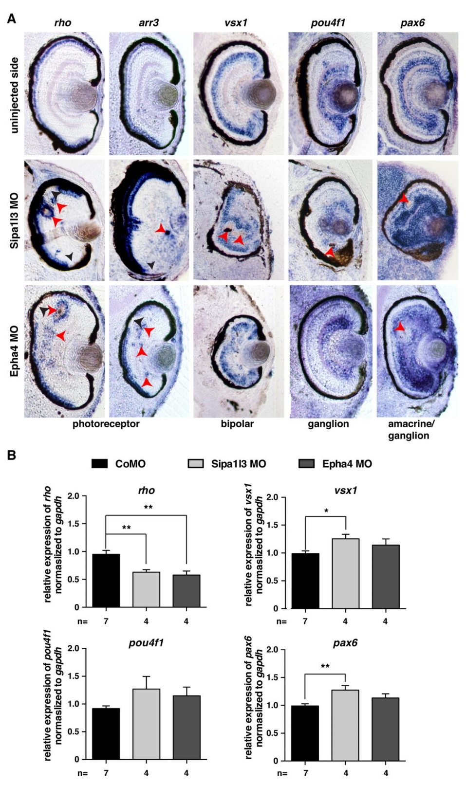
increased amount
pax6.L
expression in eye
|
|
increased amount
pou4f1.L
expression in eye
|
|
decreased amount
rho.L
expression in eye
|
|
increased amount
vsx1.L
expression in eye
|
|