Click here to close Hello! We notice that you are using Internet Explorer, which is not supported by Xenbase and may cause the site to display incorrectly. We suggest using a current version of Chrome, FireFox, or Safari.
XB-PHENO-24261

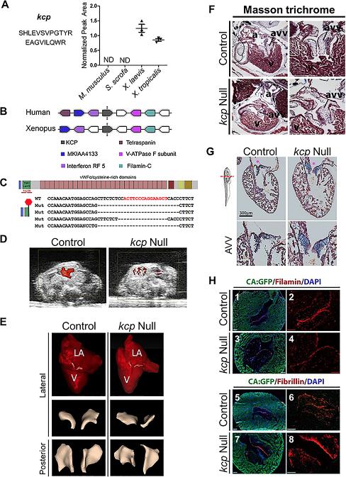
Xla.Tg(actc1:GFP)Mohun + kcp TALEN, Federspiel JD et al. (2019)

Experiment + Assay: Xla.Tg(actc1:GFP)Mohun + kcp TALEN + NF64 (immunohistochemistry)
Background: Xla.Tg(actc1:GFP)Mohun
Manipulations:
Manipulation Type Reagent Target Gene Stage Treatment Area
TALEN kcp kcp (Xla)
NF stage 5 (16-cell) blastomere
Conditions:
Assay Type Assay Stages Antibody
immunohistochemistry NF stage 64  
Anatomical Phenotypes: abnormal atrioventricular valve morphology
Expression Phenotypes (2):
increased amount fbn1.L expression in atrioventricular valve leaflet
decreased amount flna.L expression in atrioventricular valve leaflet
Human Disease Associations: congenital heart disease
Source: Fig. 6 H
Article: XB-ART-56270, PubMed