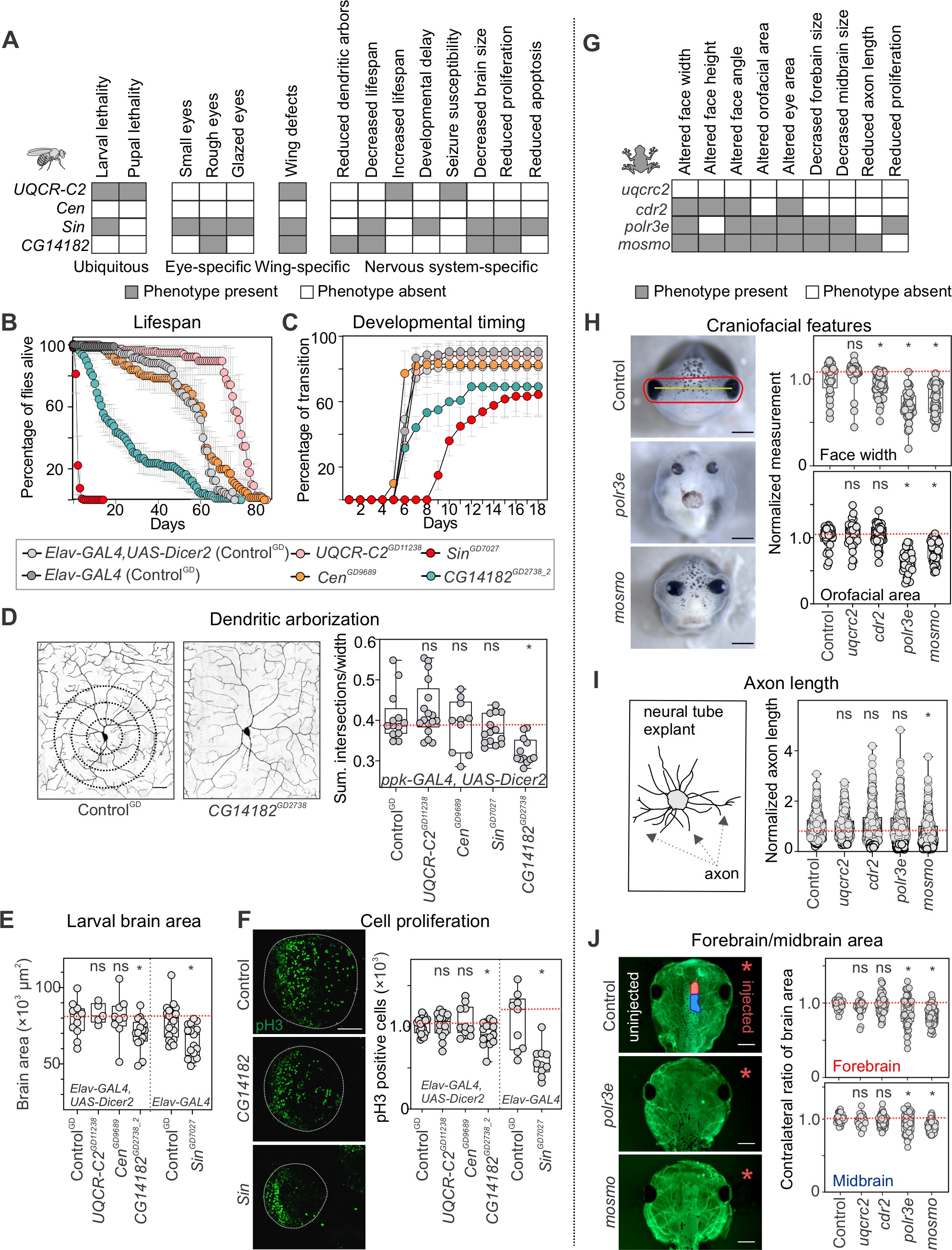
XB-PHENO-24363
Xla Wt + mosmo MO, Pizzo L et al. (2021)
| Experiment + Assay: | Xla Wt + mosmo MO + NF42 (whole-mount microscopy) | ||||||||||||||||||||||
|---|---|---|---|---|---|---|---|---|---|---|---|---|---|---|---|---|---|---|---|---|---|---|---|
|
|||||||||||||||||||||||
| Anatomical Phenotypes: abnormal craniofacial region morphology, abnormal mouth morphology, decreased width of the craniofacial region |
