XB-PHENO-24561
Xtr Wt + heart injury, Wu HY et al. (2021)
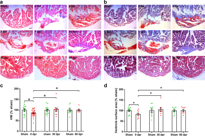
| Experiment + Assay: | Xtr Wt + heart injury + adult 30 days post injury (histology) | ||||||||||||||||||||||
|---|---|---|---|---|---|---|---|---|---|---|---|---|---|---|---|---|---|---|---|---|---|---|---|
|
|||||||||||||||||||||||
| Anatomical Phenotypes: increased cell population proliferation in cardiac myocyte |
| Experiment + Assay: | Xtr Wt + heart injury + adult 30 days post injury (histology) | ||||||||||||||||||||||
|---|---|---|---|---|---|---|---|---|---|---|---|---|---|---|---|---|---|---|---|---|---|---|---|
|
|||||||||||||||||||||||
| Anatomical Phenotypes: increased cell population proliferation in cardiac myocyte |