Click here to close Hello! We notice that you are using Internet Explorer, which is not supported by Xenbase and may cause the site to display incorrectly. We suggest using a current version of Chrome, FireFox, or Safari.
XB-PHENO-25812

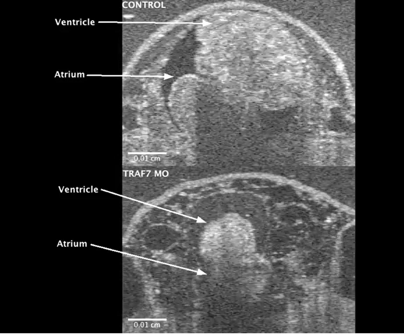
Xtr wt + traf7 MO, Mishra-Gorur K et al. (2023)

Experiment + Assay: Xtr wt + traf7 MO + NF46 (transmission electron microscopy)
Background: Xtr.inbred
Manipulations:
Manipulation Type Reagent Target Gene Stage Treatment Area
morpholino injection traf7 MO1 traf7
NF stage 1
Conditions:
Assay Type Assay Stages Antibody
transmission electron microscopy NF stage 46  
Anatomical Phenotypes: abnormal head morphology, abnormal heart contraction, edematous heart
Source: Movie S3.
Article: XB-ART-59693, PubMed