XB-PHENO-26211
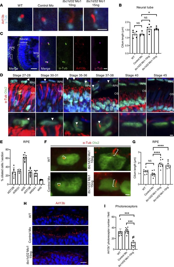
tbc1d32 MO3 + NF St 3, Bocquet B et al. (2023)
| Experiment + Assay: | tbc1d32 MO3 + NF St 3 + NF St 35-36 immunohistochemistry | ||||||||||||||||||||||
|---|---|---|---|---|---|---|---|---|---|---|---|---|---|---|---|---|---|---|---|---|---|---|---|
|
|||||||||||||||||||||||
| Anatomical Phenotypes: increased size of the cilium |
| Human Disease Associations: retinitis pigmentosa |
