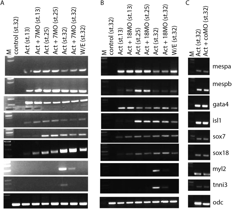
XB-PHENO-26244
Xla.Tg(myl2:GFP)Mohun + sox7 MO + Activin + explant, Afouda BA et al. (2018)
| Experiment + Assay: |
Xla.Tg(myl2:GFP)Mohun + sox7 MO + Activin + explant +
NF32 (RT-PCR)
|
| Manipulations: |
| Manipulation Type |
Reagent |
Target Gene |
Stage |
Treatment Area |
|
morpholino injection
|
sox7 MO1
|
sox7 (Xla)
|
NF stage 1
|
whole organism
|
|
morpholino injection
|
sox7 MO1
|
sox7 (Xla)
|
NF stage 1
|
whole organism
|
|
chemical
|
Durabolin
|
|
NF stage 10
|
|
|
explant
|
|
|
NF stage 10
|
|
|
| Conditions: |
| Assay Type |
Assay Stages |
Antibody |
|
RT-PCR
|
NF stage 32
|
|
|
|
|
Expression Phenotypes (2):
|
|
decreased amount
myl2.L
expression in cardiac myocyte
|
|
absent
tnni3.L
expression in cardiac myocyte
|
|