|
||||||||||
|
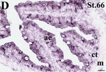
Larger Image Fig. 5. Tecta.2 expression at stg 66 in intestinal epithelium This image is extracted from figure published in: Buchholz DR et al. (2004) Copyright © 2004. Image reproduced with permission of the Publisher, Elsevier B. V.
Image source: Published Permanent Image Page Printer Friendly View XB-IMG-47431 |